
Our recombinant antibody services deliver rapid, reliable, and high-quality solutions for both research and therapeutic applications. Leveraging advanced expression systems in CHO and HEK293 cells, we ensure consistent production of full-length antibodies, VHH, Fab, and Fc-fusion formats. Our streamlined workflow—from gene synthesis, codon optimization, and subcloning to expression, purification, and detailed validation—guarantees precision and reproducibility. With flexible specifications, fast turnaround times, and comprehensive technical support, we empower researchers to accelerate discovery, enhance experimental reliability, and access customized antibodies tailored to complex scientific needs.
| Service | Antibody Type & Scale | Turnaround Time | QC Standards | Deliverables |
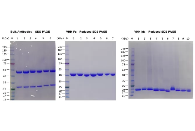
| Standard Recombinant Antibody Expression | Full-length mAb, VHH-His, VHH-Fc, Fab; 3 mL – >1 L | 2 weeks | SDS-PAGE >95%, HPLC >95%, Endotoxin <1 EU/mg | Purified protein, heavy/light chain plasmids, COA |
| Guaranteed Recombinant Antibody Expression | Full-length mAb, VHH-Fc, VHH-His; 10–1000 mg | 2–5 weeks | SDS-PAGE >95%, HPLC >90%, Endotoxin <1 EU/mg | Purified protein, heavy/light chain plasmids, COA |
| Plate Supernatant Production | Unpurified antibody, ≥300 μL | 1–2 weeks | N/A | Supernatant, heavy/light chain plasmids, COA |
| Bispecific Antibody Expression | Custom bispecific | 3–5 weeks | Optional secondary purification | Purified protein, heavy/light chain plasmids, COA |
Depending on the service, some antibodies are provided as purified protein ready for use, while others, like plate supernatant antibodies, may require additional purification before sensitive applications.